Page 93 - 《广西植物》2020年第1期
P. 93
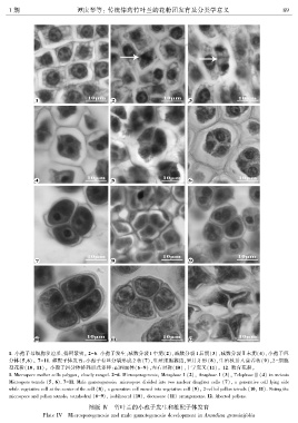
1 期 谭庆琴等: 传统傣药竹叶兰的花粉团发育及分类学意义 8 9
1. 小孢子母细胞多边形ꎬ排列紧密ꎮ 2-6. 小孢子发生:减数分裂 I 中期(2)ꎬ减数分裂 I 后期(3)ꎬ减数分裂Ⅱ末期(4)ꎬ小孢子四
分体(5ꎬ6)ꎮ 7-11. 雄配子体发育:小孢子有丝分裂形成 2 核(7)ꎬ生殖细胞靠边ꎬ呈月牙形(8)ꎬ生殖核并入营养核(9)ꎬ2-细胞
型花粉(10ꎬ 11)ꎮ 小孢子四分体排列形式多样:正四面体(6-9)ꎬ左右对称(10)ꎬ十字交叉(11)ꎮ 12. 败育花粉ꎮ
1. Microspore mother cells polygonꎬ closely ranged. 2-6. Microsporogenesis: Metaphase I (2)ꎬ Anaphase I (3)ꎬ TelophaseⅡ(4) in meiosis
Microspore tetrads (5ꎬ 6). 7-11. Male gametogenesis: microspore divided into two nuclear daughter cells (7)ꎬ a generative cell lying side
while vegetative cell at the center of the cell (8)ꎬ a generative cell moved into vegetative cell (9)ꎬ 2 ̄celled pollen tetrads (10ꎬ 11). Noting the
microspore and pollen tetrads: tetrahedral (6-9)ꎬ isobilateral (10)ꎬ decussate (11) arrangements. 12. Aborted pollens.
图版 Ⅳ 竹叶兰的小孢子发生和雄配子体发育
Plate IV Microsporogenesis and male gametogenesis development in Arundina graminifolia

