Page 131 - 《广西植物》2020年第8期
P. 131
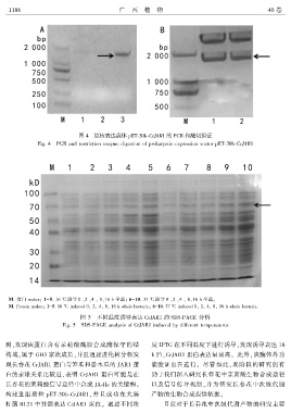
1 1 8 6 广 西 植 物 40 卷
图 4 原核表达载体 pET ̄30b ̄CrJAR1 的 PCR 和酶切验证
Fig. 4 PCR and restriction enzyme digestion of prokaryotic expression vector pET ̄30b ̄CrJAR1
M. 蛋白 makerꎻ 1-5. 16 ℃ 诱导 0 、2 、4 、 8、16 h 全菌ꎻ 6-10. 37 ℃ 诱导 0 、2 、4 、 8、16 h 全菌ꎮ
M. Protein makerꎻ 1-5. 16 ℃ induced 0ꎬ 2ꎬ 4ꎬ 8ꎬ 16 h whole bacteriaꎻ 6-10. 37 ℃ induced 0ꎬ 2ꎬ 4ꎬ 8ꎬ 16 h whole bacteria.
图 5 不同温度诱导表达 CrJAR1 的 SDS ̄PAGE 分析
Fig. 5 SDS ̄PAGE analysis of CrJAR1 induced by different temperatures
测ꎬ发现该蛋白含有茉莉酸酰胺合成酶保守的结 度 IPTG 在不同温度下进行诱导ꎬ发现诱导表达 16
构域ꎬ属于 GH3 家族成员ꎬ并且通过进化树分析发 h 后ꎬCrJAR1 蛋白表达量最高ꎮ 此外ꎬ该酶体外功
现长春花 CrJAR1 蛋白与笋瓜和番木瓜的 JAR1 蛋 能验证也在进行ꎮ 尽管如此ꎬ现阶段的研究仍有
白的亲缘关系比较近ꎬ表明 CrJAR1 蛋白可能是在 助于我们深入研究长春花中茉莉酸生物合成途径
长春花的茉莉酸信号途径中合成 JA ̄Ile 的关键酶ꎮ 以及信号传导机制ꎬ并为研究长春花中次级代谢
构建重组质粒 pET ̄30b ̄CrJAR1ꎬ并且成功在大肠 产物的生物合成提供依据ꎮ
杆菌 BL21 中异源表达 CrJAR1 蛋白ꎮ 通过不同浓 目前对于长春花中次级代谢产物的研究主要

